【医讯】我院胸外科开展三孔胸腔镜下纵隔肿瘤切除术
近日,我院胸外科韩锋主任团队顺利开展三孔胸腔镜下纵隔肿瘤切除术。
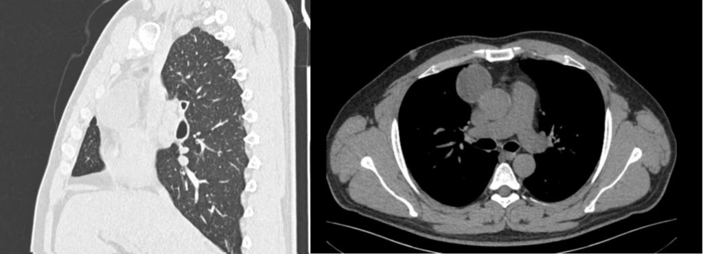
患者为33岁年轻男性患者,于体检时发现前上纵隔肿瘤,直径约5-6cm,为将患者的创伤降到最低,同时兼顾术后快速康复及美观,最大限度的节约诊疗费用,经过详细术前讨论及多学科会诊,韩锋主任及团队成员王青松、孙明德主治医师为患者实施三孔胸腔镜下纵隔肿瘤切除术。这项手术是通过3个直径仅1.2、1、0.5cm的胸壁操作孔完成的,较传统手术比较而言,传统手术切口(约20cm长)及常规胸腔镜小手术切口(1个约3-5cm长),创伤微小,使术后疼痛大大减轻,恢复也更快。胸外科团队经过充分的术前准备, 选择合理的切口设计,团队成员镜下配合流畅,历时仅半小时即顺利完成纵隔肿瘤切除术。术后6小时患者即可下床活动、进食,术后3天顺利出院。

术前影像
术后韩锋主任医师表示:胸腔镜纵隔肿瘤手术是国内外最新开展的微创手术方式,常用的手术方式包括三孔、两孔、单孔以及剑突下操作等,我科室以往常规开展的纵隔肿瘤手术方式为3cm小切口单操作孔,而此次采用了三孔胸腔镜代表了目前胸部手术的发展方向,具有创伤小、术后疼痛轻、恢复快的特点,该手术比传统胸腔镜操作难度更大,对术者技术要求更高。
近年来胸外科紧紧把握学科发展方向,在微创治疗领域不断探索与发展,胸腔镜技术已广泛应用于临床。今后胸外科将持续推进微创技术创新,继续加强多学科协作模式,不断提升医疗技术水平,为患者提供更加便捷优质的医疗服务。
对于老百姓来说,“纵隔”这个词确实还非常陌生。
想必许多人在听到“纵隔”这个词时会感到困惑,它究竟是什么呢?
纵隔是位于两侧纵隔胸膜之间,胸骨之后的一个腔隙。可以视其为一个空间概念,在颈部以下、腹部之上,双肺之间,是左右纵隔胸膜及其间所夹的器官和组织的总称,纵隔里有许多重要器官,包括心脏、食管、气管、胸腺、神经等。
纵隔肿瘤,作为临床中一种常见的胸部疾病,可以大致分为原发性肿瘤和转移性肿瘤。原发性纵隔肿瘤主要源自纵隔内的各种组织结构,也就是指在这一区域内生长出来的新生物或囊肿,但不包括从食管、气管、支气管和心脏所产生的良、恶性肿瘤。
纵隔肿瘤的症状有哪些?
纵隔肿瘤的症状表现因肿瘤类型和生长情况而异。原发性纵隔肿瘤及囊肿,约三分之一的患者在早期无明显症状,往往在其他疾病或常规体检中被发现。然而,随着肿瘤的生长,可能会出现胸痛、胸闷、咳嗽和气促等症状。
当肿瘤体积较大时,由于对纵隔内重要脏器的压迫或侵犯,可能会引发更严重的症状,如压迫气管导致气促和干咳,压迫食管导致吞咽困难,以及压迫神经引起的膈肌麻痹等。对于此类疾病,临床上首选手术治疗。
纵隔肿瘤的手术方式
传统手术:传统手术,采用胸骨正中切口或胸骨横断切口,手术创伤大、操作复杂、耗时长,还容易导致较多出血,由于创伤较大,患者术后也会产生剧烈疼痛,恢复时间较长。
侧胸壁术式:侧胸壁术式易损伤肋间神经,发生肋间神经痛;胸腺切除或不完全,易损伤肺。
胸腔镜手术:胸腔镜手术,与常规开胸手术相比不仅减少了对患者的创伤,术后恢复迅速,疼痛明显减轻,大大缩短了住院时间,重要的是由于视野清楚、视野范围增加,切除范围更为彻底。
我院胸外科拥有医护21人,其中医师高级职称2人,中级职称3人,初级职称2人,设置有规范的胸外科病房、独立的胸外科门诊、专家门诊以及肺结节外科门诊,综合实力雄厚,处理疑难重症能力强,疾病诊治规范,并且与安徽医科大学第一附属医院、安徽省立医院、蚌埠医科大学第一附属医院等省内外知名医院进行长期的技术协助和人员交流。
胸外科特色技术:
·肺部疾病:肺癌、肺部感染、肺囊肿、肺气肿等。
·食管疾病:食管癌、食管炎、食管憩室、食管裂孔疝等。
·纵隔疾病:纵隔肿瘤、胸腺瘤、神经源性肿瘤、畸胎瘤等。
·胸壁疾病:漏斗胸、鸡胸、胸壁肿瘤、肋骨骨折等。
·其他:气胸、血胸、脓胸、手汗症、膈疝等。
便民平台